
近日,第十七届中国深圳创新创业大赛大鹏新区预选赛暨第九届大鹏新区创新创业大赛决赛圆满落幕。华津肾类器官团队凭借"基于iPSC或ESC的类器官构建及系统化多维功能表征与评估平台"项目,从众多优秀参赛团队中脱颖而出,荣获团队组三等奖!

图1. 创业大赛决赛现场
本次大赛作为深圳市政府、科技部火炬中心主办的权威赛事,设有专业评审团,由管理界专家、专业投资者、高校导师及上市公司高管等组成。经过严格的网络初审、区复赛等多轮选拔,华津生物最终在决赛路演环节凭借过硬的技术实力和创新的商业模式获得评委一致认可。
此次获奖,是对华津生物在肾脏疾病研究领域技术创新实力与产业化前景的高度认可。公司自主研发的Kidnioid®技术平台,已建立包括iPSC细胞库、肾脏类器官分化技术平台、肾脏类器官疾病模型库等在内的完整技术体系,为肾脏疾病科研和药物发现提供全方位解决方案。作为华源再生医学-中山大学联合实验室的科研承接单位,公司整合了中山大学两个医学院及20家关联医院的数百名肾脏科研和临床专家资源,已成为国内肾脏类器官技术平台的领军企业。

图2. Kidnioid®技术平台的分化过程中的肾脏类器官明场图
Kidnioid®技术平台是华津生物自主研发的核心技术,能够通过人类多能干细胞成功构建出具有完整肾单元结构的高仿生肾脏类器官。该平台已建立包括iPSC细胞库、肾脏类器官分化技术平台、肾脏类器官疾病模型库等在内的完整技术体系。

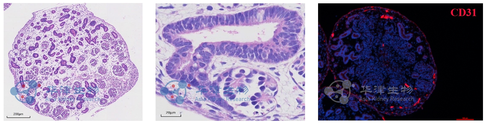
图3. 经病理切片图和荧光染色图鉴定,Kidnioid®技术平台构建的肾脏类器官包含肾小球、肾小管及血管样结构
未来,华津生物将继续深化与顶尖科研机构、新药研发企业的合作,加速iPSC来源肾脏细胞、肾脏类器官等前沿技术的产业化落地,为肾脏疾病研究和创新药物研发提供更精准、更高效的技术服务与整体解决方案。