肾脏疾病研究与机制探索

基于肾脏类器官&器官芯片Kidnioid®技术平台

科研服务

服务介绍:

根据客户的研究方向和具体需求,华津可提供肾脏相关类器官模型的定制化技术服务。


服务内容:

类器官模型构建:正常肾脏类器官模型、肾纤维化模型、急性肾损伤模型、FSGS/足细胞损伤模型、糖尿病肾病模型、缺氧损伤模型、高脂致肾损伤模型等类器官模型构建。

样本处理:石蜡切片、RNA提取、药物干预等

模型鉴定:HE染色、IF染色、qPCR、电镜流式分析等。

其它:个性化订制内容。






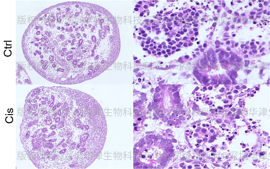
案例1 顺铂诱导的急性肾损伤类器官模型

图1. 顺铂可通过诱导急性肾小管损伤并上调损伤和炎症因子,引起足细胞和近端小管

功能紊乱,类器官模型可以敏感地再现该毒性表型。

案例2 糖尿病肾病类器官模型

图2. 高糖通过激活HK2促进山梨醇蓄积,导致渗透压失衡和基底膜增厚;同时肾小球高滤过损伤近曲小管(LTL↓),触发修复(KIM-1↑)氧化应激(LCN2↑);

随后ROS激活NF-κB通路引发炎症风暴(TNF-α/IL-1β↑),最终促进胶原沉积(COL1A1/FN1↑)和EMT(VIM↑),导致肾纤维化。


服务案例
服务咨询
  • 您的姓名*
  • 您的电话*
  • 公司单位*
  • 咨询内容
提交