产品中心

案例1:


阿霉素诱导FSGS肾病模型


研究背景:

       阿霉素(ADR)诱导的肾病模型以足细胞损伤、足突融合为始动环节,通过模拟人类原发性局灶节段性肾小球硬化(FSGS)的蛋白尿及纤维化进程,成为研究慢性肾病(CKD)肾小球硬化与肾小管间质损伤机制的“金标准”动物模型。


动物信息:

       Balb/c


数据结果:

动物模型

案例2:


5/6肾切模型


研究背景:

       慢性肾衰竭(CRF)以肾小球硬化和肾间质纤维化为核心病理特征,目前尚无法完全控制其进展;5/6肾切除模型通过诱导残肾高滤过及氧化应激,能够稳定模拟人类CRF的纤维化进程,是研究其发病机制及干预策略的经典动物模型。


动物信息:

       SD大鼠


数据结果:

案例3:


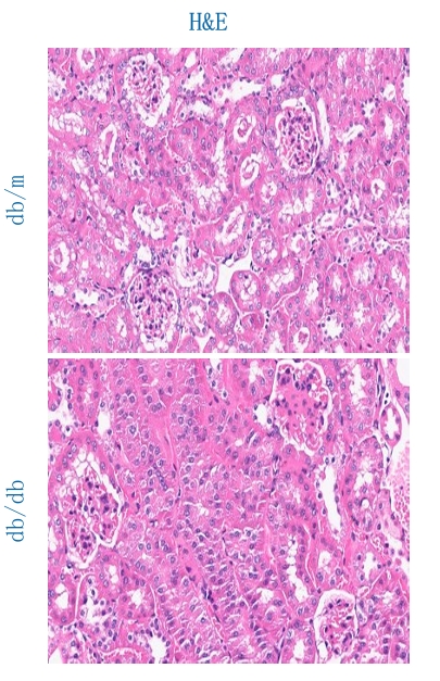
肾单侧切除糖尿病肾病模型


研究背景:

       基于BKS背景的db/db小鼠由于leptin受体突变导致严重肥胖、持续性高血糖及β细胞功能衰竭,能够自发形成类似人类2型糖尿病,加以单侧肾切除可以加快糖尿病肾病的进展,为探讨糖尿病肾病发病机制及评估干预药物提供了理想的转化研究平台。


动物信息:

       C57BLKS/J-db/db


数据结果:注:数据结果中小鼠已接受单侧肾切除手术;血糖结果为随机血糖)

案例4:


联合诱导糖尿病肾病模型


研究背景:

       DKD 以肾小球结构与功能的不可逆损伤为核心病理特征,临床常采用高剂量STZ诱导的1 型模型或HFD联合小剂量STZ构建的2型模型,以模拟人类DKD的发病过程及代谢异常。


动物信息:

       SD 大鼠


数据结果:注:血糖结果为随机血糖

案例5:


单侧输尿管结扎模型


研究背景:

       单侧输尿管结扎(UUO)模型通过模拟输尿管梗阻所致的肾损伤,能够简单、可重复地诱发快速进展的肾间质纤维化,为解析人类慢性肾脏病纤维化机制及评估抗纤维化药物提供了关键的转化研究平台。


动物信息:

       C57BL6


数据结果:

案例6:


肾缺血再灌注损伤模型


研究背景:

       肾脏缺血再灌注损伤(IRI)是导致急性肾衰竭的常见原因,广泛发生于肾移植及休克等临床场景;通过微型动脉夹夹闭双侧肾蒂制备的动物模型,能够稳定模拟IRI病理过程,是研究其发病机制及干预措施的重要工具。


动物信息:

       C57BL6


数据结果:

案例7:


顺铂诱导急性肾损伤模型


研究背景:

       基于顺铂诱导的肾毒性发病机制建立肾病模型,不仅为开发预防性辅助疗法、减少临床减量或停药需求提供关键工具,也为评估潜在干预措施搭建了重要的转化研究平台。


动物信息:

       C57BL6


数据结果:

案例8:


脓毒血症模型


研究背景:

       CLP小鼠败血症模型通过模拟肠道菌群移位、组织坏死及免疫抑制等人类败血症核心病理特征,成为业内公认的“金标准”研究工具。


动物信息:

       C57BL6小鼠


数据结果:

更多肾病动物模型,请联系我们咨询详情。


  • 您的姓名*
  • 您的电话*
  • 公司单位*
  • 咨询内容
提交
订购咨询