慢性肾脏病已成为全球性重大公共卫生挑战,尤其在我国,患者基数庞大且肾源极度短缺。如何突破现有治疗瓶颈,构建高效、仿生的肾脏研究模型,成为科研与临床转化的迫切需求。
华津生物依托领先的肾脏类器官Kidnioid®技术平台,致力于为肾脏疾病机制研究、药物筛选与毒性评价、再生治疗等领域提供系统性解决方案。
一、技术背景:为什么需要肾脏类器官?
疾病负担沉重:全球慢性肾脏病患者已超8.5亿,我国患者数量居世界前列,终末期肾病患者已突破400万。
治疗手段有限:肾移植受限于器官短缺与伦理问题,每年我国仅约1万例患者能接受移植。
模型需求升级:传统2D细胞模型与动物模型难以真实模拟人体肾脏结构与功能,类器官技术应运而生。
二、华津肾脏类器官技术体系
华津生物肾脏类器官Kidnioid®技术平台基于人多能干细胞(iPSC/ESC),通过模拟肾脏在体发育过程,构建具有肾小球、肾小管、血管样结构等多细胞组分的肾脏类器官。
核心技术特点:
高度仿生:具备足细胞、近端小管、远端小管等典型结构,电镜显示丰富足突结构。
可重复性强:标准化诱导流程,25–30天即可获得成熟类器官。

图1. 华津Kidnioid®技术平台的分化过程中的肾脏类器官明场图

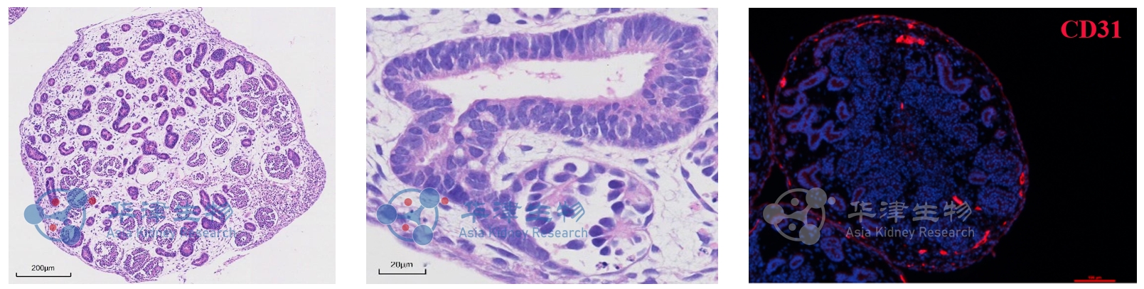
图2. 经病理切片图和荧光染色图鉴定,Kidnioid®技术平台构建的肾脏类器官包含肾小球、肾小管及血管样结构
三、应用场景全覆盖:从疾病建模到药筛平台
华津已构建多种病理/毒理模型,覆盖常见肾脏损伤类型,助力机制研究与药物开发:
模型类型 | 模拟疾病/损伤 |
纤维化模型 | 慢性肾脏病纤维化终末结局 |
顺铂损伤模型 | 化疗所致急性肾损伤(AKI) |
阿霉素损伤模型 | 抗生素诱导肾毒性损伤 |
马兜铃酸损伤模型 | 马兜铃酸肾病(中药肾毒性) |
嘌呤霉素损伤模型 | 足细胞病/局灶节段性肾小球硬化(FSGS)样损伤 |
缺氧/低氧模型 | 缺血再灌注肾损伤(IRI) |
高糖震荡模型 | 糖尿病肾病(早期代谢与结构损伤) |
四、服务平台:我们能为科研与产业做什么?
华津围绕肾脏类器官,搭建了从技术构建到应用转化的全链条服务平台:
类器官构建与模型定制:支持遗传性肾病、毒性损伤、纤维化等多种模型。
药物筛选与毒性评价:提供肾毒性、药效评价等服务,支持抗纤维化药物等研发。
科研合作与技术服务:面向高校、医院、药企,提供类器官培养、表型分析、机制研究等支持。
转化医学探索:持续推进类器官在再生治疗与器官替代方面的应用研究。
五、合作与咨询
深圳华津生物科技有限公司作为华源再生医学-中山大学联合实验室的科研承接单位,依托顶尖的干细胞再生医学专家团队,围绕Kidnioid®技术平台,建立了从iPSC细胞库、肾脏类器官分化到疾病模型构建的完整体系,是国内领先的肾脏类器官技术平台与服务提供者。
如果您正在开展:
肾脏疾病机制研究
肾毒性或药效评价
肾脏再生与类器官移植探索
相关药物发现与筛选
欢迎联系我们,获取技术方案、模型定制或合作洽谈。
联系方式:
商务支持 - 李老师 17276665437
技术支持 - 田老师 18843183823
公司地址
深圳
广东省深圳市龙华区观澜银星智界2期A座11楼
广州
广东省广州和盛广场
武汉
湖北武汉光谷生物城
联系电话
商务支持
17276665437(李先生)
技术支持
18843183823(田先生)