人源肾类器官证实:血小板-TGF-β-EMT轴为肾纤维化核心机制
来源:华津生物微信公众号 | 作者:华津生物 | 发布时间 :2025-11-25 | 99 次浏览: | 🔊 点击朗读正文 ❚❚ | 分享到:
本研究揭示了血小板-TGF-β-EMT轴在慢性肾脏病纤维化中的核心作用。在糖尿病肾病和UUO小鼠模型中,抑制或清除血小板可显著降低EMT与纤维化标志物表达。体外实验中,活化血小板与人源肾小管上皮细胞及iPSC来源肾类器官共培养,诱导了EMT相关基因上调、上皮标志物下调及细胞形态向间质样转变,该过程依赖于血小板释放的TGF-β1,并可被ALK-5抑制剂逆转。研究进一步发现血小板通过TGF-β-p21轴诱导细胞周期G2/M期阻滞,加剧纤维化进程。该成果提示抗血小板治疗可能通过抑制TGF-β通路延缓肾纤维化,为慢性肾病治疗提供了新策略方向。
血小板TGF-β通路驱动慢性肾病纤维化研究
       血小板诱导肾纤维化机制示意图        

血小板释放TGF-β进而诱导肾小管上皮细胞发生EMT,是驱动慢性肾脏病(CKD)纤维化的关键环节——这一机制近日由荷兰阿姆斯特丹大学医学中心Alessandra Tammaro与Joris J.T.H. Roelofs团队在Molecular Medicine(2025)上发表的研究所阐明。

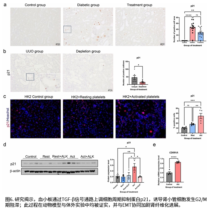
该研究在糖尿病肾病(DKD)与单侧输尿管梗阻(UUO)两种小鼠模型中发现,抑制或清除血小板能显著降低EMT标志物(如SNAIL1、α-SMA)与纤维化指标(如胶原沉积),并减少细胞周期阻滞蛋白p21的表达。

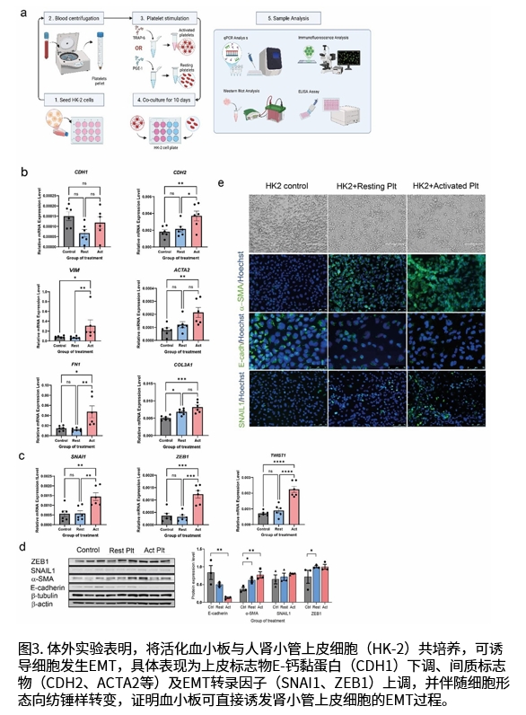
在体外实验中,研究人员将活化血小板与人源肾小管上皮细胞(HK-2)及iPSC来源的肾类器官共培养,观察到EMT相关基因(如CDH2、ACTA2、COL1A1)表达上升,上皮标志物CDH1(E-cadherin)下降,细胞形态也由鹅卵石样向上皮样向纺锤形间质样转变。这一过程被证实依赖于血小板释放的TGF-β1,而使用其受体抑制剂ALK-5则可逆转上述EMT表型。

研究还发现,血小板通过TGF-β-p21轴诱导细胞周期在G2/M期阻滞,从而进一步加剧纤维化进程。该成果提示,抗血小板治疗不仅具有心血管保护作用,还可能通过抑制TGF-β通路以延缓肾纤维化,为CKD的临床治疗提供了新的策略方向。

       实验结果图1        实验结果图2        实验结果图3        实验结果图4        实验结果图5        实验结果图6        
参考文献
Rustiasari, Ukhti Jamil et al. “Platelets induce epithelial to mesenchymal transition in renal proximal tubular epithelial cells through TGF-β signaling pathway.” Molecular medicine (Cambridge, Mass.) vol. 31,1 318. 29 Oct. 2025