
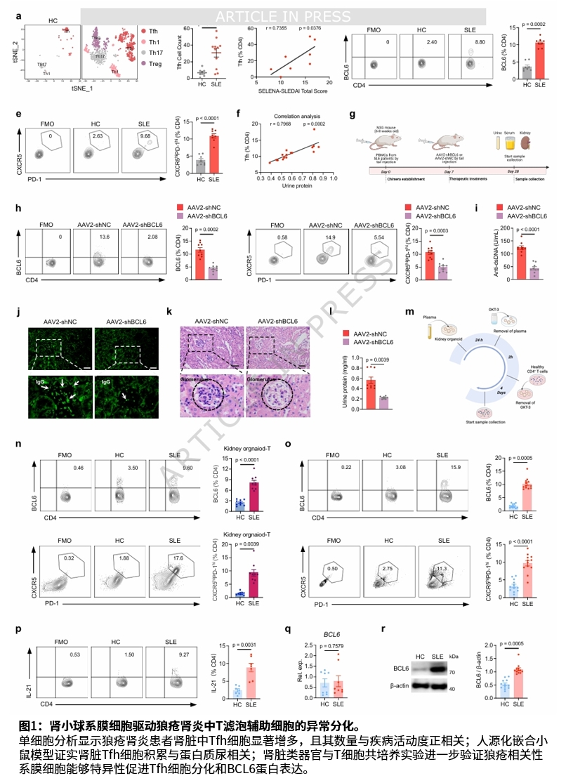
研究团队首先分析了狼疮肾炎患者的单细胞肾脏数据集,发现肾脏中T滤泡辅助细胞显著增多。在此基础上,研究人员利用人源化嵌合小鼠模型证实了肾脏Tfh细胞的积累与疾病严重程度相关。通过肾脏类器官与T细胞共培养系统,研究进一步验证了狼疮肾炎患者血浆能够促进Tfh细胞分化。
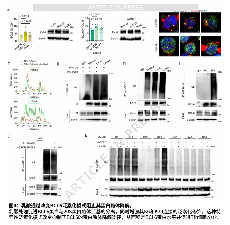
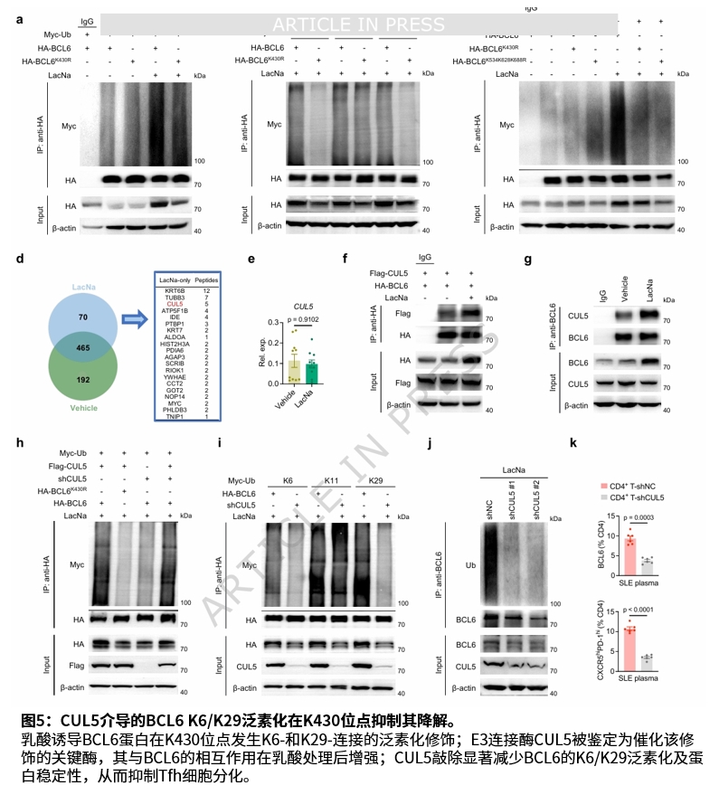
机制研究发现,自身DNA刺激的狼疮相关性系膜细胞通过CNBP介导的MPC1缺陷,导致乳酸生成增加。乳酸进入CD4⁺ T细胞后,通过PCAF催化的BCL6乳酸化及随后的K6-和K29-连接的泛素化,抑制BCL6蛋白酶体降解,从而稳定BCL6蛋白并促进Tfh分化。
在治疗验证中,靶向抑制乳酸生成或阻断PCAF功能均可减少肾脏Tfh细胞数量并缓解疾病进展。该研究为狼疮肾炎提供了新的治疗靶点。







参考文献
Liu M, Ji H, Lei J, Zheng M, Li L, Zhai X, Wang H, Liu T, Cao Q, Xu L, Wen Z. Lactate bridges mesangial cells to the differentiation of follicular helper T cells in lupus nephritis. Nat Commun. 2025 Dec 11
公司地址
深圳
广东省深圳市龙华区观澜银星智界2期A座11楼
广州
广东省广州和盛广场
武汉
湖北武汉光谷生物城
联系电话
商务支持
17276665437(李先生)
技术支持
18843183823(田先生)